Glomerulonefritlar va pielonefritlarning tahlili








Ec
Muallif:
Eco FILE
Hujjat ma'lumotlari
Kategoriya:
Taqdimotlar (slaydlar) Format:
ppt Sahifalar:
65 bet Ko'rilgan:
0 marta Sotilgan:
0 marta Hajmi:
24.50 MB Narxi:
7,000 so'mMahsulot tavsifi:
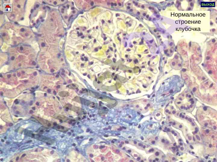
Glomerulonefrit va pielonefrit kasalliklari, etologiyasi, simptomlari va patogenezi bo'yicha batafsil tahlil. Ushbu maqolada immunomodulyatsiya va HLA-antigenlarining roli keltirilgan.